近日,曾在空军军医大学唐都医院接受糖尿病足治疗的张阿姨在家人的陪同下来院复查,检查结果一切良好,家人们相拥而泣,一颗悬着的心终于放了下来。三个月前,医院介入疼痛科采用血管鞘介入技术辅助下的永久性脊髓电刺激植入术,成功为其治疗复杂难治性糖尿病足,降低了截肢风险。经科技查新,此种治疗方式为世界首例。

78岁的张阿姨,有糖尿病史十余年,两月前突然出现左足坏疽,趾部皮肤溃烂、发黑、坏死,并且剧烈疼痛,难以忍受,严重影响了日常生活,多次常规治疗后,症状并没有得到缓解,反而进一步加重,面临截肢风险。同时由于张阿姨有严重的卧姿障碍和麻醉不耐受,即使选择截肢,也无法进行常规血管造影评价截肢平面,故无法做截肢处理。家人不愿放弃希望,多方打听后,慕名来到唐都医院介入疼痛科找到了曹玮主任。


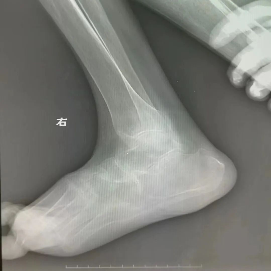
该患者伴有严重的类风湿性关节炎并肢体畸形
经过细致的检查评估,曹玮主任决定采用目前国际上较为成熟的“脊髓电刺激”疗法来为张阿姨治疗糖尿病足性疼痛,并避免截肢。脊髓电刺激治疗是一种微创疼痛治疗技术,它是在脊髓的硬膜外后间隙插入一根电极,通过电刺激阻断疼痛信号的传导,同时可调控交感神经以改善糖尿病足的末梢血运循环。但是由于张阿姨长期患有类风湿性关节炎,脊柱及四肢严重畸形,无法俯卧位,且椎管多节段狭窄,常规操作无法将电极植入脊椎预定位置,为治疗带来了很大难度。为此,曹玮主任及其团队决定创新采用血管鞘介入技术辅助电极植入,用穿刺针成功引入导丝、导管及血管鞘,通过血管鞘成功建立电极植入通道,之后成功将电极植入至硬膜外脊髓背侧预定的相应刺激区域。在术中测试及术后随访中,张阿姨表示下肢疼痛明显减轻。



经穿刺针置入导丝引导,置入导管及鞘管、引导电极植入




植入后电极及神经刺激器位置
术后,又联合内分泌及烧伤整形科进行血糖控制及创面管理,经过一个月的努力,张阿姨下肢皮肤温度较前回升,左足创面呈逐渐愈合趋势。
这种通过血管鞘介入技术辅助电极植入的治疗方式,避免了外科多节段椎管开窗式植入的创伤,弥补了国内外此类患者脊髓电刺激手术的空白,为复杂性糖尿病足患者的治疗提供了更优质的医疗方案,也为此类情况的患者创造了更多可能。